歯周病が進行すると抜歯が必要になる?抜歯後の治療法も解説
- 歯のコラム
こんにちは。熊本市西区蓮台寺、JR「熊本駅」より車で5分の歯医者「谷川歯科医院」です。
「歯周病が進行すると歯を抜かなければならなくなるって本当なの?」と疑問や不安を抱えている方もいるでしょう。実際に、歯周病が進行した状態で治療を行っても、歯の保存が難しくなるケースもあります。
この記事では、歯周病で抜歯が必要になるのはどのような状態なのかを解説し、抜歯後の治療法についても解説します。この記事を参考に、歯周病の治療法や抜歯後の選択肢について理解を深めてください。
歯周病とは

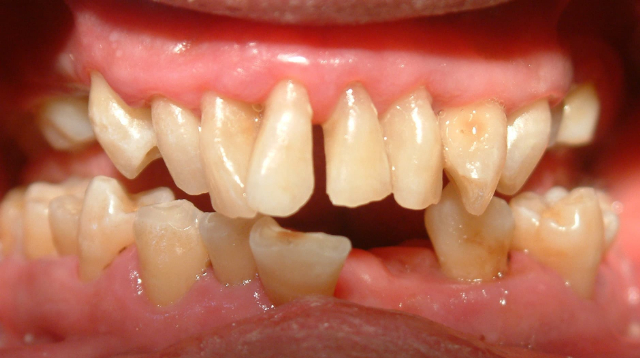
歯周病とは、歯を支えている歯ぐきや骨などの組織に炎症が起こる病気で、初期には歯肉炎として始まります。歯と歯ぐきの間にプラークがたまることで細菌が繁殖し、やがて歯槽骨にまで炎症が広がると歯周炎へと進行します。
進行すると歯がぐらつき、最悪の場合には抜歯に至ることもあります。初期段階では自覚症状が少なく、気づかないまま悪化することが多いため注意が必要です。歯周病は日本人の成人の多くがかかっているといわれるほど身近な病気であり、日常的なケアと定期的な検診が予防に欠かせません。
歯周病の進行段階
歯周病は、進行の度合いによっていくつかの段階に分けられます。それぞれの段階で現れる症状や、必要となる治療が異なります。
- 歯肉炎
歯肉炎は、歯周病の一番初期の段階です。この段階では、炎症は歯ぐきだけにとどまっており、まだ歯を支える骨には影響がありません。主な症状は、歯ぐきの赤みや腫れ、歯磨きのときに血が出るといったものです。
痛みがほとんどないため、気づかないまま放置されることも少なくありませんが、原因となるプラーク(歯垢)をしっかり取り除けば健康な状態に戻せる可能性があります。
- 軽度の歯周炎
軽度の歯周炎になると、歯茎の炎症が歯周ポケットと呼ばれる溝の奥にまで進み、腫れや出血が見られるようになります。この段階では、歯を支える骨の破壊は始まっていますが、まだ軽度であり適切なケアを行えば回復がも期待できます。
放置すると中度へ進行するため、専門的な処置を受けることが重要です。
- 中等度の歯周炎
さらに進行すると、中等度の歯周炎に至り、歯を支える骨の破壊がより広範囲に及びます。歯茎はさらに下がり、歯のぐらつきもはっきりと感じられるようになります。この段階では、歯と歯茎の間の歯周ポケットが深くなり、そこに細菌が溜まりやすくなります。
炎症が慢性化しやすく、口臭や出血も強くなります。
- 重度の歯周炎
重度の歯周炎まで進行すると、歯周組織の大部分が破壊され、歯を保持できる状態ではなくなることがあります。歯周ポケットの深さは6mmを超え、歯根の露出も目立ってきます。この段階では歯周組織の再建は困難なケースもあります。
歯周病が進行すると抜歯が必要になる?

歯周病は、放置すると歯を支える組織が徐々に破壊され、最終的には歯が抜け落ちることもある病気です。上述したとおり、初期段階では歯茎の腫れや出血といった症状にとどまりますが、進行すると歯がグラつき、支える力が弱くなってしまいます。
このような状態になると、歯を残すことが難しくなり、やむを得ず抜歯を選択するケースもあります。つまり、歯周病の進行を放置すると、抜歯が避けられなくなる可能性があるのです。
歯周病の治療法

歯周病の治療は、進行度に応じて方法が異なります。抜歯を避けるためには、できるだけ早く受診することが重要といえるでしょう。
軽度の段階では、日々のブラッシングや歯科医院でのクリーニング(スケーリング)によって歯石やプラーク(歯垢)を取り除くことが中心です。歯ぐきの腫れや出血がみられる場合でも、初期のケアを徹底することで症状の改善が期待できます。
中度~重度に進行している場合は、歯周ポケットの奥深くにある汚れを除去するルートプレーニングや、歯ぐきを切開して歯根を清掃するフラップ手術などの外科的処置が行われます。歯周組織の再生を促す再生療法と呼ばれる治療法を検討することもあります。
さらに、喫煙や糖尿病といったリスク因子がある場合は、それらの改善も治療の一部として考えなければなりません。また、歯周病治療は1回で終わるものではなく、繰り返しのメンテナンスを通じて安定した口腔環境を維持していくことが重要です。
歯周病が原因で抜歯をする場合の注意点

歯周病で抜歯を受けるにあたっては、いくつかの重要なポイントを理解しておく必要があります。
まず、適切なタイミングで抜歯をするようにしましょう。抜歯を先延ばしにすると、周囲の骨もどんどん吸収されてしまい、他の歯も残せなくなる可能性もあります。抜歯に不安を感じる方も多いかもしれませんが、抜歯を行うことでまわりの歯やあごの骨への悪影響を防げるのです。
また、歯周病が原因で抜歯になった場合、時間を空けずに歯を補う治療を進めることが重要です。抜歯後の歯ぐきや骨は、日が経つごとに少しずつ変化していきます。そのまま放置すると骨の量が減り、治療の選択肢が限られることも考えられます。
また、抜けた部分を放っておくと、隣の歯が傾いたり、かみ合わせがずれたりするおそれもあります。歯がない状態は噛む力や見た目にも影響を与えるため、早めの対応が大切です。
歯周病が原因で抜歯をしたあとの治療法

歯周病によって抜歯を行った場合、そのままにしておくと噛み合わせや見た目、発音などにさまざまな影響が出てきます。失った歯を補うためには、適切な治療法を選択することが重要です。
ここでは、抜歯後の代表的な選択肢をご紹介します。
部分入れ歯
部分入れ歯は、歯を失った部分を補うための取り外し式の装置で、周囲の歯に金属のバネなどを使って固定します。素材や構造によって装着時の違和感や安定性に差があり、慣れるまでに時間がかかることもあります。
入れ歯は毎日取り外して洗浄し、口の中も清潔に保つことが大切です。また、歯ぐきや支えとなる歯の状態は変化するため、年に1~2回の定期的な調整や作り直しが必要になることがあります。
ブリッジ治療
ブリッジ治療とは、歯を失った部分の両隣の歯を土台として削り、連結した人工の歯を被せて欠損部分を補う治療法です。自歯を利用するため違和感が少なく、見た目も自然に仕上がります。
ただし、健康な歯を削る必要がある点や、清掃がやや難しくなる点には注意が必要です。費用や期間を抑えられる反面、支えとなる歯への負担は大きく、将来的なトラブルのリスクも考慮する必要があります。
インプラント治療
インプラント治療は、歯を失ったあとに人工の歯根(インプラント体)を顎の骨に埋め込み、その上に人工の歯を装着する治療法です。残っている歯を削らずに済み、見た目や噛む力が自然の歯に近い状態まで回復できることから、高い満足度を得られる場合があります。
ただし、インプラントを支えるには健康な歯ぐきと十分な骨量が必要です。歯周病で歯ぐきや骨が大きくダメージを受けている場合には、骨を増やす治療が必要になるかもしれません。まが、治療後も毎日の丁寧なケアと定期的なメンテナンスが重要です。
まとめ

歯周病は静かに進行する病気であり、気づいたときにはすでに重症化していることも少なくありません。放っておくと、歯ぐきや骨がどんどん損傷していき、最終的には抜歯が必要になることもあります。
しかし、抜歯は決して終わりではありません。失った歯を補うためのインプラントやブリッジ、入れ歯といった治療法を活用することで、噛む力や見た目を再び整えられます。
大切なのは、抜歯が避けられない状態になる前に、早めに歯科医院で診てもらうことです。歯周病の進行を防ぐためにも、日々のセルフケアと定期的な検診を欠かさないようにしましょう。
歯周病の治療を検討されている方は、熊本市西区蓮台寺、JR「熊本駅」より車で5分の歯医者「谷川歯科医院」にお気軽にご相談ください。
当院は、「みんなが通いやすい、地域の優しい歯医者」を目指して、新しい設備の導入や治療技術の向上に努めながら、さまざまな診療にあたっています。診療案内ページはこちら、WEB予約・お問い合わせも受け付けておりますので、ぜひご活用ください。







