096-325-5651

ホワイトニング

whitening

歯を白く美しくするホワイトニング

ホワイトニングとは

黄ばみを取りたい・歯を白くしたいという方には、「ホワイトニング」がおすすめです。歯の表面に、過酸化尿素や過酸化水素と呼ばれる薬剤が入ったホワイトニング剤を塗布することで薬剤が内部まで浸透し、色素を除去してくれます。
ホワイトニングの種類には「ホームホワイトニング」と「オフィスホワイトニング」と「デュアルホワイトニング」の3種類がございます。
「ホワイトニングの仕組み」については、当院のインスタグラムの投稿をご覧ください!→ Instagram

オフィスホワイトニング

病院で行うホワイトニング

オフィスホワイトニングとは、歯医者で約60〜90分かけて行う施術で、前から4番目までの歯を白くしていきます。濃度の高いホワイトニング剤を歯の表面に塗布して内部の色素を除去します。同時に専用の照射器で光を当てるため、より効果を高めることができます。

ホワイトニングと同時に歯も強化

当院では、「ハイブリッドポリリンホワイトニングシステム」を導入しております。ホワイトニングと同時に歯の強化も行うシステムです。歯の表面は、毎回の食事や歯磨き等で目に見えない凸凹ができてしまっています。その凸凹を高濃度のリン酸カルシウムで埋めて表面をきれいにすることで、虫歯になりにくい強度に向上させて、見た目もマスキング効果と呼ばれるものにより、白く見えるようになります。

全国で約2000医院が導入しているポリリンホワイトニング

ポリリンホワイトニングは、短鎖分割ポリリン酸®と呼ばれる薬剤を用いています。ポリリン酸とは、地球ができた頃から自然界に存在するもので、哺乳類の体内にも含まれています。そのポリリン酸の構造を特殊な技術で短くした短鎖分割ポリリン酸®は、ホワイトニングに活用することで、以下のような利点があります。

着色物質を除去してくれる

通常歯医者で使用する薬剤は、着色物質を分解して無色化(漂白)する作用はありますが、着色物質を除去する効果はありません。短鎖分割ポリリン酸®は、着色物質の除去も行ってくれるので、ホワイトニングの相乗効果が期待できます。

ホワイトニング後の食事制限がない

ホワイトニングをした後は、カレーやお茶、コーヒーといった着色のつきやすい食事は避けた方がよいとされています。しかし、短鎖分割ポリリン酸®は、ホワイトニング後の歯の表面に吸着してコーティングしてくれます。このポリリンコーティングにより着色物質の付着を防いでくれるので、食事制限はなく施術直後から自由に食事が可能で、白さもより維持することができます。

歯がしみにくい

オフィスホワイトニングの欠点は、なんといっても術後に歯がしみやすいことです。ホワイトニング中に、歯の内部の神経側から水分を奪っていくため、奪う際にキーンと響く痛みが出ることがあります。
短鎖分割ポリリン酸®は、水分を多く含んでいるため、神経側に刺激を与えることが少なくホワイトニングを行えます。ただし、そうはいってもしみる可能性はゼロではないため、知覚過敏がひどいような方は、事前に短鎖分割ポリリン酸®の割合を増やすことで、術後のしみや痛みを軽減することができますので、ご安心ください。

ポリリンホワイトニングのメリット・デメリット

Meritメリット

  • 短時間で歯が白くなる
  • 歯を痛めないので「痛み」「シミ」をほとんど感じない
  • 歯質強化・強石灰化で歯を守ってくれる
  • 歯をコーティングして色素の付着を防止するため白さが長続きする

Demeritデメリット

  • 痛みがまれに生じることがあります
  • 色の後戻りが起こる
  • 必ずしも理想の歯の色になるとは限らない
  • 歯の状態や変色の原因によってはご期待に沿えない場合がある

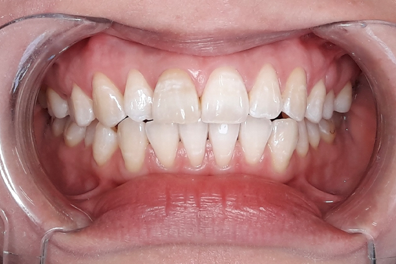
ポリリンホワイトニングの症例

治療前

治療後

年齢/性別 30代/女性
通院目的 歯を白くしたい
診断 審美障害
処置内容 【1日目】
クリーニング後歯質強化を行った後に薬剤を上下16本の歯に塗布して9分間光照射し、終了後薬剤を除去して新たに薬剤を塗布して9分間光照射を計3回行った。
【2日目(2回目)】【3日目(3回目)】
1回目と同様に行った。
通院回数/期間 3回/約1週間
費用 26,000円(税込み)
リスク・副作用 治療終了後にまれに歯に痛みが生じることがある。

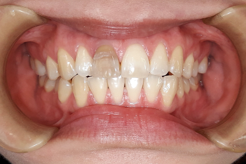
ポリリンホワイトニングの症例

治療前

治療後

年齢/性別 50代/女性
通院目的 歯を白くしたい
診断 審美障害
処置内容 【1日目】
クリーニング後歯質強化を行った後に薬剤を上下16本の歯に塗布して9分間光照射し、終了後薬剤を除去して新たに薬剤を塗布して9分間光照射を計3回行った。
【2日目】【3日目】【4日目】
1回目と同様に行った。4回目終了後見た目に満足されたため、終了とした。5回目は後戻り防止のために3か月後に行うこととした。
通院回数/期間 4回/約1か月
費用 35,000円(税込み)
リスク・副作用 治療終了後まれに歯に痛みが生じることがある。

歯医者でホワイトニング!
ハイブリッドポリリンホワイトニングについて

歯医者でホワイトニング!
ハイブリッドポリリンホワイトニング施術中

ホームホワイトニング

型採りを行って作成したマウスピースにホワイトニング剤を付けて毎日60〜90分ほどご自宅で装着していただく方法です。
薬剤は「過酸化尿素」や「過酸化水素」を用いるのが一般的です。過酸化尿素は歯の表面や内部で尿素と過酸化水素に分解されます。そして、分解された過酸化水素がさらに分解されて、フリーラジカルと呼ばれる活性酸素を発生させて着色物質を分解・漂白し、歯を白くしていきます。また、尿素も歯の内部のたんぱく成分を分解してくれます。
当院では、「ティオンホームウィズ」と「アンジェラス ホーム16%」というホワイトニング剤をご用意しております。

当院のホームホワイトニングの種類

当院では、「ティオンホームウィズ」と「アンジェラス ホーム16%」というホワイトニング剤をご用意しております。

ティオンホームウィズ

ティオンホームウィズは、ホワイトニングジェルに6%濃度の過酸化水素が入っています。唾液に溶けにくい成分のため、ホワイトニングシート(ホワイトニングマウスピース)の隙間に唾液が侵入しても効果が長続きします。毎日自宅で60分間×10日間装着することで、ホワイトニング効果を実感できます。当院おすすめのホワイトニング剤となっております。

詳しくはこちら→ ティオンホームウィズ

アンジェラス ホーム16%

アンジェラス ホーム16%は、2023年に認可されて発売を開始した薬剤で、16%濃度の過酸化尿素が入っており、ゆっくりと分解されるため歯がしみにくい特徴があります。また、粘性が高いため有効成分が歯面に効率よくとどまってくれます。

どちらも国産の安心安全なホワイトニング剤となっておりますので安心してお使いいただけます。

ホームホワイトニングのメリット・デメリット

Meritメリット

  • 薬剤の濃度が低いため、歯に痛みが生じにくい。
  • オフィスホワイトニングよりも白さの持続期間が長い。
  • より自然に近い白さになる。

Demeritデメリット

  • 約3週間毎日装着する必要がある
  • 効果が出るまで時間がかかり、ホワイトニング剤の追加が必要になることがある

ホワイトニングジェルの使用方法

ホームホワイトニングを行う場合、ご自宅でホワイトニングジェルを塗布していただきます。ジェル1本あたり約1週間を目安に使用し、量は必ず適量を守ってホワイトニングを行いましょう。
使用時間は60〜90分程度、ホワイトニングジェルをマウスピースに塗布し装着してください。※着用時間が短い場合効果が現れない可能性があります。

デュアルホワイトニング

ホームホワイトニングとオフィスホワイトニングを並行して行うホワイトニングです。
それぞれの欠点を補ってくれるため、当院でもオススメのホワイトニング方法です。

デュアルホワイトニングのメリット・デメリット

Meritメリット

  • 色が後戻りしにくく、白さが長続きする

Demeritデメリット

  • 薬剤の刺激で歯に痛みが生じることがある(一時的なもので、多くの場合は24時間以内に治まります)
  • 価格が割高となる

ホワイトニングを行うにあたっての注意点

  • 治療の前にホワイトニングに適した状態であるのか検査させていただきます。歯にむし歯がある場合は治療が必要となりますのでご理解ください。
  • 妊娠中・授乳中の方、歯がしみやすい方、重度の歯周病の方、お子様には治療を行っておりませんのでご注意ください。
  • コーヒー・紅茶・赤ワイン・カレーなどの摂取や喫煙は着色の原因となるため、治療期間中は控えていただきますのでご理解ください
  • ホワイトニングの効果は半永久的ではないため、上記のどの方法で行っても、日にちが経つと一定の再着色があります。
  • 白さをキープするには定期的なクリーニングやホワイトニングの追加が効果的です。

自身に適したホワイトニング方法がわからないなどご不明点があれば、
お気軽にご相談ください。

ウォーキングブリーチ

神経を取っている歯は、全体がくすんだ色になることが多いです。ウォーキングブリーチは歯の内部に薬剤を入れることで、くすんだ色を白く改善させる治療です。

ウォーキングブリーチのメリット・デメリット

Meritメリット

  • 被せ物に比べると、ご自身の歯を大きく削らずに済む
  • 周りの歯の色に近くなり、目立たなくなる

Demeritデメリット

  • 神経の治療が不十分な場合は、先に神経の治療が必要となることがある
  • 残っている歯の厚みが薄いと歯が割れる恐れがあるため、適応外となることがある
  • ホワイトニングと同様に歯の色の後戻りが起こることがある
  • 必ずしも理想の歯の色になるとは限らない。歯の状態や変色の原因によってご期待に沿えない場合がある

ウォーキングブリーチの症例

治療前

治療後

年齢/性別 20歳女性
通院目的 前歯の変色が気になる
診断 失活歯の歯の変色
処置内容 歯の裏側から薬剤(過酸化水素水3%+過ホウ酸ナトリウム)を填入し、封鎖。2回薬剤の交換を行い、コンポジットレジンにて修復し、終了した。
通院回数/期間 4回/約1か月
費用 15,000円(税込み)
リスク・副作用 ①ウォーキングブリーチを行う前に、歯の内部の根管治療が必要となることがある
②お約束した期間内に薬剤を交換する必要があるが、途中で放置すると歯の痛みや内部吸収を起こすことがある
③治療途中で硬い物を食べると歯が折れる可能性がある
④歯の色の後戻りが起こることがある

ウォーキングブリーチの症例

治療前

治療後

年齢/性別 20歳女性
通院目的 変色した歯を白くしたい
診断 審美障害
処置内容 【1日目】歯の裏側から薬剤(過酸化水素水3%+過ホウ酸ナトリウム)を填入し、封鎖。
【2日目】【3日目】1日目と同じ処置を行った。
【4日目】歯の裏側をコンポジットレジンで封鎖した。全体のホワイトニングも希望されたため次回からポリリンホワイトニングを行うこととした。
【5日目】CAPシステムによる表面歯質の強化を行った後に、薬剤を上下16本の歯に塗布して9分間光照射し、終了後薬剤を除去して新たに薬剤を塗布して9分間光照射を計3回行った。ホワイトニング2回目以降は、後戻りが気になったときに行うこととした。
通院回数/期間 5回/約2か月
費用 50,000円(税込み)
リスク・副作用 ①治療前に根管治療が必要になることがある
②放置すると歯の痛みや内部吸収が起きることがある
③硬いものを食べると歯が折れるリスクがある
④歯の色戻りが起こることがある

料金表

  • オフィスホワイトニング(上下計16本)3回
  • 29,000円
  • オフィスホワイトニング(上下計16本)5回
  • 40,000円

  • ホームホワイトニング(上下マウスピース)※ホワイトニングジェル 約3週間分付き
  • 20,000円

  • ホワイトニングジェル 2本追加
  • 6,000円

  • デュアルホワイトニング(上下)
  • 50,000円

  • ウォーキングブリーチ
  • 1歯 15,000円

※料金はすべて税込みです。

ホワイトニング よくある質問

Q

歯の色が気になるのですが、白くしたいのですがどの方法が効果的ですか?

A

着色が原因であれば、歯医者でのクリーニングだけで白くなります。しかし、歯全体がくすんだような色になっている場合はホワイトニングによる治療が効果的です。
神経の治療をしている歯であればウォーキングブリーチ、神経の治療をしていない歯にはホームホワイトニングまたはオフィスホワイトニングが効果的です。ホームホワイトニングとオフィスホワイトニングでは、お口の中を拝見してからどちらが効果的か判断することが多いです。

Q

ホームホワイトニングにするかオフィスホワイトニングにするか迷っています。

A

ご自身の歯の色をできるだけ白く近づけたい方にはオスィスホワイトニングがおすすめです。歯の全体を自然な白さに近づけたいという方や歯医者に複数回来院することが難しい方にはホームホワイトニングがおすすめです。
そして、永く白さをキープしたいという方には、オフィスホワイトニングを5回行った後に3〜6ヶ月に1回オフィスホワイトニングを行うこと(リタッチ)をおすすめします。

Q

オフィスホワイトニングを3回行うか5回行うかで迷っています。どちらの方がよいでしょうか?

A

当院では3回コースは主に①高校生②20代前半の方で黄ばみが少ない方③他院でホワイトニング経験済みで既に歯が白めの方におすすめしております。
上記以外の方は、5回コースでしっかりと白くしていただく方が後戻りも少なく白さが長く持続します。

Q

オフィスホワイトニングの次の来院の間隔はどれくらい空けた方がよいのでしょうか?

A

当院では、オフィスホワイトニングにポリリンホワイトニングを導入しております。ポリリンホワイトニングは歯にやさしく、しみにくいため翌日以降の施術が可能です。
1週間後や2週間後よりはできるだけ近い日にまとめて行うことで、より白く仕上げることができますので、計画を立てる際は、比較的近い日にちで複数回ご来院できるスケジュールを立てていただくことをおすすめします。

Q

歯を可能な限り白くするにはどうすればよいですか?

A

当院では、オフィスホワイトニングを5回行った後にホームホワイトニングを行い、3〜6ヶ月に1回オフィスホワイトニングを行っていただくことをおすすめしております。

Q

色戻りを防ぐためにホワイトニング歯磨き粉の使用は効果的ですか?

A

効果的です。ホワイトニング歯磨き粉に含まれる着色を取る成分は、粒子が細かいためおすすめです。
以下の動画も参考にしてみてください。

Q

モバイルアプリケーション「みらくるポイント」で貯まったポイントは利用可能ですか?

A

ポリリンホワイトニングやホームホワイトニング等保険外治療での値引きが可能です。お支払い時にMIRACLE POINTアプリをご提示ください。

ページトップへ戻る