インプラントの症例 60代/女性
- インプラント
- 症例紹介
インプラントの症例

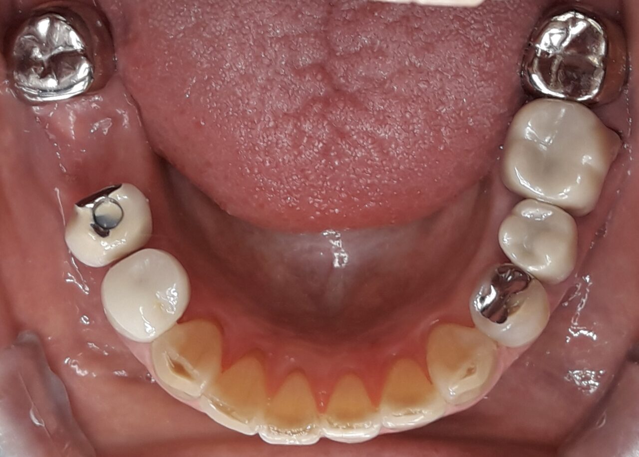
治療前

治療後
| 年齢/性別 | 60歳女性 |
|---|---|
| 通院目的 | 歯を抜いた部分でも食事がとれるようにしたい |
| 診断 | 咀嚼障害 |
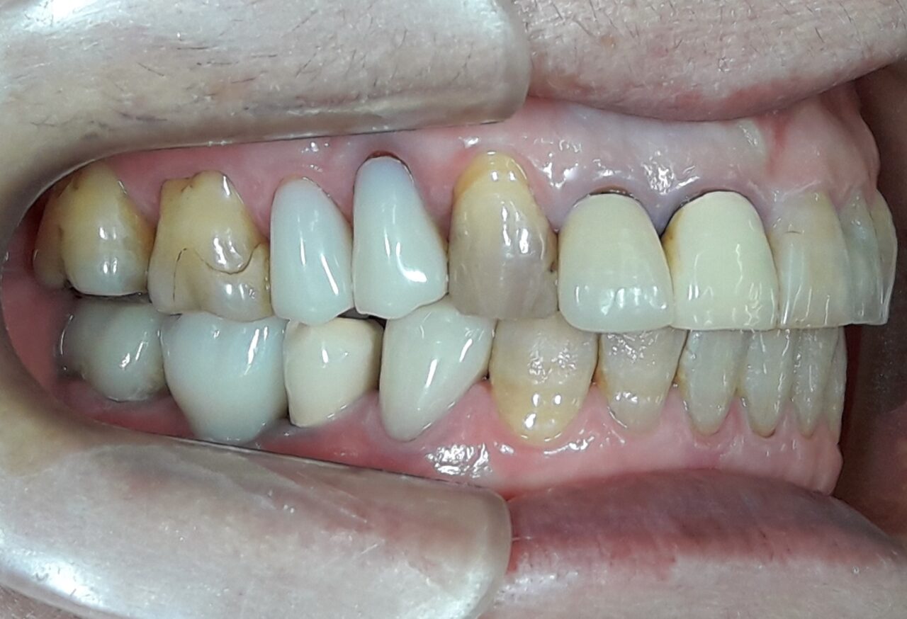
| 処置内容 | 右下6番相当部に局所麻酔下でオステム社製インプラント2本埋入。 その際に骨補填材(ボナーク)と吸収性メンブレン(サイトランスエラシールド)を用いてGBRを行い、2週間後に抜糸を行った。 6ヶ月間治癒を待った後に2次手術を行い、ヒーリングスクリューを装着し、2週間後に抜糸。1ヶ月後に仮歯の装着、1ヶ月後に最終上部構造(ジルコニアクラウン)を装着した。 |
| 通院回数/期間 | 15回/約9ヶ月 |
| 費用 | 550,000円(税込み) |
| リスク・副作用 | 術後に頬が腫れたり内出血斑が現れることがある。 仮歯で違和感が出た場合は形の修正や噛み合わせの調整を行うことがある。 スクリューが緩んで被せ物がぐらついてくることがあり、その際は早めにスクリューを締め直す必要がある。 スクリューホールのコンポジットレジンが変色したりすり減ったりした場合は詰め替える必要がある。 |


治療前


術後1年







