入れ歯の症例 70代/女性
- 入れ歯
- 症例紹介
入れ歯の症例

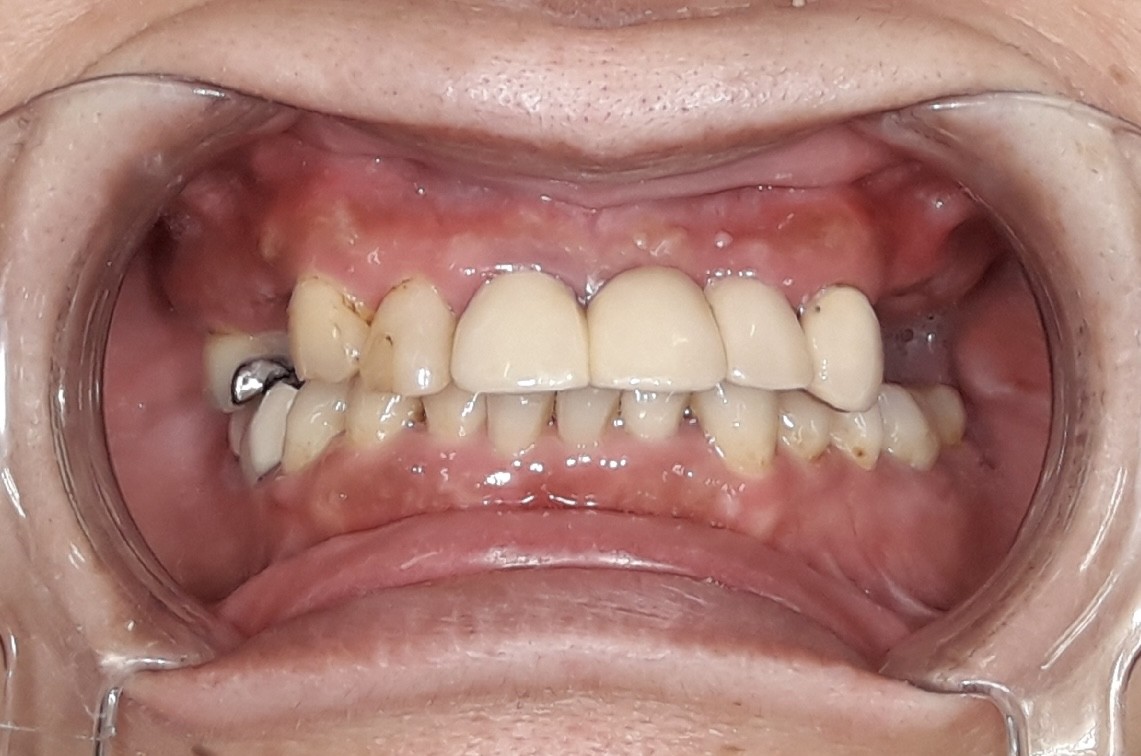
治療前

治療後
| 年齢/性別 | 70歳女性 |
|---|---|
| 通院目的 | 目立たない入れ歯を入れたい |
| 診断 | 多数歯欠損 |
| 処置内容 | 【1日目】上下の型取りを行った。 【2日目】かみ合わせの高さを決定した 【3日目】蝋の上に並べた人工歯の位置と高さを確認した ![]() 【4日目】完成の入れ歯を装着し調整を行った。 【5日目】入れ歯の調整を行った。 |
| 通院回数/期間 | 5回/約1か月 |
| 費用 | 140,000円(税込み) |
| リスク・副作用 | ①取り外しの際に痛みが出ることがあり、後日調整が必要なことがある ②粘膜面への当たりが強い部分に痛みが出ることがあり、調整が必要なことがある ③誤って踏んだり落としたりすると割れたり壊れたりすることがある ④治療途中で硬いものを食べると歯が折れる可能性がある。 |








